リウマチ治療の第一選択薬
メトトレキサート (MTX) は、免疫抑制作用を持つ抗リウマチ薬で、世界的に最もよく使用されている薬です。メトトレキサートは関節リウマチ (RA) と診断されたら、まずはじめに使うべき薬剤 (第1選択薬) の1つであり、アンカー薬剤とも呼ばれています。最新のガイドライン (図1) でも、RAと診断後にまず使用することを考慮する薬剤としてMTXが挙げられています。

メトトレキサートの構造
メトトレキサートは葉酸代謝拮抗薬であり、図2のように葉酸に似た構造をもっています。葉酸はDNAやRNAなどの核酸の合成を促進し、細胞増殖を促しています。メトトレキサートはその葉酸代謝に関わる酵素を阻害し、効果を発揮します

メトトレキサートの作用機序
メトトレキサートは葉酸代謝のいくつかの段階を阻害するとされており、今回は代表的な作用機序を2つを示します。メトトレキサートはまず細胞内に取り込まれると、グルタミン酸が付加されMTX-PG(メトトレキサートーポリグルタミン酸)として細胞内に滞留し、ジヒドロ葉酸還元酵素(DHFR)やチミジル酸合成酵素(TYMS)、ATICなどといった酵素活性を抑制し、結果として核酸の生合成を阻害します (図3)。また、先ほどの核酸合成阻害に加えて、MTX-PGの酵素阻害作用により、先ほども登場したATICが阻害されることで、AMPデアミナーゼ・AMPDAおよびアデニンアミナーゼ・ADAの活性が低下し、細胞内と細胞外でアデノシン濃度が上昇します。その結果、アデノシンによる抗炎症作用を発揮するとされています (図4)。


内服方法
メトトレキサートは毎日飲むわけではなく、週に1回または2回内服することで、効果を発揮する薬剤です (図5)。最初は1週間に6 mg (3錠) か8 mg (4錠) からはじめて、効果と副作用をみながら最大16 mg (8錠) まで増やしていきます。特定の副作用を軽減させるために、葉酸製剤 (商品名:フォリアミンⓇ) も併用します。

葉酸製剤について
メトトレキサートは、葉酸(ようさん)の働きを抑えることで抗リウマチ作用を発揮する薬です。
そのため、副作用としては葉酸の不足に関連する症状――たとえば口内炎、吐き気、下痢、肝機能の異常などがみられることがあります。
これらの副作用は、メトトレキサートの投与量が増えるほど起こりやすくなる傾向がありますが、葉酸を補うことで多くの場合予防・軽減が可能です。実際の投与量や葉酸の補充方法については、主治医の指示に従って調整を行います。
一方で、葉酸を過剰に摂取すると、メトトレキサートの効果が減弱します。サプリメントにも含まれている可能性があるので、内服する場合は、必ず主治医に相談をしましょう。

より抜粋
服用前の注意
服用を始める前に主治医に伝えてほしいこと
以下のようなことに当てはまる場合は、必ず主治医に伝えてください。
- 過去にメトトレキサートや同じような薬を使って、副作用が出たことがある
- 血液の病気やリンパ腫など、血液や免疫に関わる病気にかかったことがある
- 結核や肝炎など、感染症にかかったことがある
- 肝臓、腎臓、肺などに持病がある、または検査で異常を指摘されたことがある
- アルコールをよく飲む習慣がある
- 貧血がある、もしくは疲れやすい・息切れがする
- 妊娠している、または妊娠を希望している、授乳中である
これらに当てはまる場合でも、必ずしも服用できないわけではありません。医師が状態を確認したうえで、適切な方法を検討します。
妊娠中、授乳中の方は内服できません。
メトトレキサートを内服中および内服中止から少なくとも3ヵ月は妊娠を避けてください。メトトレキサートにより流産や奇形が誘発されやすいことが知られていることが、その理由です。
妊娠・出産を希望する方は、主治医とよく相談しながらメトトレキサートを計画的に中止します。
乳汁中にもメトトレキサートがわずかに検出されますので、授乳中もメトトレキサートを飲んではいけません。
メトトレキサートの主な副作用について
メトトレキサート(MTX)は、関節リウマチなどに広く使われている効果的なお薬ですが、人によっては副作用があらわれることがあります。定期的な通院や血液検査を受けながら、安全に治療を続けていくことが大切です。もし、いつもと違う体調の変化を感じた場合は、自己判断せず早めに主治医に相談してください。
- 血球減少症
血液中の白血球や赤血球、血小板の数が減ることがあります。その結果、貧血によるだるさ、口内炎、歯ぐきからの出血、あざができやすい、熱が出るといった症状が出ることがありますが、多くは軽微です。重症化すると感染症を起こしやすくなるため、定期的な血液検査での確認がとても重要です。 - 感染症
メトトレキサートの影響で体の免疫力が下がることがあり、かぜ、肺炎、尿路感染症、皮膚の感染症、帯状疱疹など細菌感染症やウイルス感染症を起こしやすくなります。発熱やのどの痛み、咳、排尿時の違和感など、感染を疑う症状が出たときはすぐに医療機関を受診してください。まれにカビ(真菌)による感染も見られることがあります。 - 肝酵素上昇
メトトレキサートは肝臓で代謝されるため、まれに肝機能が悪化することがあります。自覚症状がないことも多いので、定期的な血液検査が欠かせません。検査で異常が見つかった場合は、薬の量を調整したり、休薬を検討することもあります。 - 吐き気・下痢・頭痛・口内炎・倦怠感
服用後に吐き気や頭痛、口内炎、倦怠感が出ることがあります。多くは一時的で、葉酸の補充や内服のタイミングを調整することで改善します。症状が続く場合は、我慢せず主治医に相談してください。 - 間質性肺炎
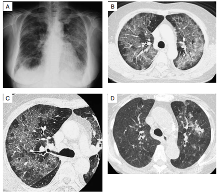
肺に炎症が起こることがあり、咳や息切れ、呼吸が苦しいなどの症状が現れる場合があります。風邪とは違って、息がきれる、空咳がでる、熱や倦怠感が続く、といった時は注意が必要です。早めに受診して検査を受けましょう。メトトレキサート肺炎 (図6) ということもあります。 - リンパ節腫脹(リンパ増殖性疾患)
関節リウマチに伴う免疫異常や、治療薬の進歩に伴う免疫抑制に伴って、最近、関節リウマチの治療経過中に発症するリンパ増殖性疾患の本邦報告例が増えています。首やわきの下などのリンパ節が腫れることがあります。扁桃などの、非リンパ節臓器が腫れることもあります。腫れが続いたり、しこりが大きくなる場合は早めの検査が必要です。薬の中止で改善することもありますが、そうでない場合もあります。必要に応じて生検を依頼し、組織診断を行い、悪性度の判断を行います。場合によっては血液内科で治療を受けることもあります。

関節リウマチ治療中の呼吸器障害の対応
関節リウマチの治療中に発症する呼吸器障害の原因は多岐に渡ります。
ウイルス、細菌、真菌(カビ)などによる感染症のほか、メトトレキサートに代表される薬剤による肺障害や、関節リウマチ自体に伴う免疫異常による間質性肺炎など、様々な原因が考えられます。
原因によって治療方針が異なるため、早期の原因特定と初期対応が非常に重要です。図7に、評価方法と原因毎の治療をまとめます。ここでは、胸部X線や胸部CTといった画像評価が初期評価として重要であることが分かります。

関節リウマチ治療におけるメトトレキサート(MTX)診療ガイドライン 2016改訂版より引用改変
当院での対応体制
当院では、肺炎が疑われる場合に、その場で迅速に検査・評価を行える体制を整えています。
- 院内迅速採血により、白血球数やCRPなどの炎症反応をすぐに確認できます。
- 胸部X線検査、胸部CT検査は院内で当日に即時に撮影が可能です。
これらにより、病状を素早く把握し、原因を初期段階で見極めます。また、必要に応じて抗菌薬やステロイドの初期治療を院内で開始し、重症例や精密検査が必要な場合には、連携する総合病院・大学病院へ速やかに紹介できる体制を整えています。
まとめ
メトトレキサートは、関節リウマチ治療の中心となる薬です。
多くの患者さんが、定期的な通院と検査を受けながら、安全に治療を続けています。
効果が現れるまでに少し時間がかかることもありますが、医師の指導のもとで継続することが重要です。
副作用がみられることもありますが、定期的な検査で早期に発見し対応することで、多くの場合は安全に使用できます。
当院では、医師・看護師が協力し、安心して治療を続けていただけるようサポートしています。